Meccanismi d`Azione

Riassunto dei meccanismi d` Azione



Coagulazione Proteica dei Tessuti subcutanei ipotonici
Legend
-
Se si inserisce il prodotto Endopeel nel bianco d`uovo, come mostrato nella provetta , otterremo immediatamente una coagulazione proteica.
-
Lo stesso risultato si ottiene nella cellulite, con l ìniezione di Endopeel nel tessuto subcutaneo,avremo i seguenti effetti:
-effetto lifting
- pelle stirata
-effetto di restringimento (tightening)
-il perimetro della circonferenza della coscia diminusice
Conclusione :
ENDOPEEL é effettivo nel trattamento della cellulite cosi come nel trattamento della buccia d `arancia. . Endopeel restringe il tessuto subcutaneo, sembrando "stirato".
Il trattamento successivo post endopeel della fibrosclerosi, determina un miglioramento estetico e funzionale dei tessuti ipotonici.

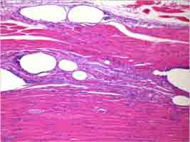
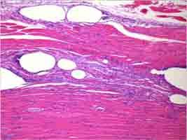
Espressione della Sinaptofisina e della Proteina S100
Questo mostra che Endopeel ha un mecanismo d `azione completamente differente sulla placca motrice, a differenza della tossina botulinica.

Velocità della Conduzione nervosa nella miofibra del Gastrocnemio del ratto Whister.

Legend
Questo studio sperimentale é stato realizzato da Neurofisiologisti Sud Coreani della città di Busan.
-
Controllo con NaCl 0.9% 1 ml
Mean +-S.D (m/s) p value <0.05 : Nessuna Variazione della velocità di conduzione - La velocità di conduzione diminuisce fino al giorno 5 dopo l `iniezione Endopeel e crescerà lentamente durante 1 mese per poi raggiungere la normalità.
Conclusione :
ENDOPEEL porta ad una restitutio ad integrum
